Table of Contents



Washington University Experience | PERIPHERAL NEUROPATHY | 17 TOXIC NEUROPATHIES | Disulfiram | 1B4 Disulfiram (Case 1) EM009 - Copy

1B4 Disulfiram (Case 1) EM009 - Copy
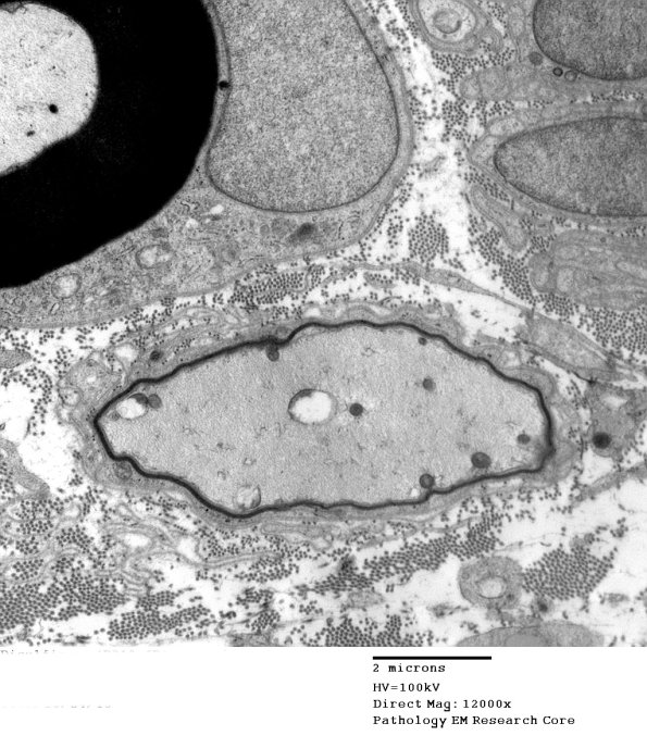
1B4, 5 A small thinly myelinated axon has accumulated neurofilaments. (electron micrographs)


Gallery RSS RSS Feed | Archive View | Login | Powered by Zenphoto