Table of Contents
* Check/uncheck all *
City
Country
Description
Location/Place
State
Tags
Title
Washington University Experience
|
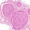
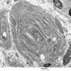
PERIPHERAL NEUROPATHY
|
18 HEREDITARY DISORDERS
|
Charcot-Marie-Tooth 1 (CMT-1) (5)
« prev
1
2
3
4
5
6
7
...
10
next »
Gallery RSS
|
Archive View
|
Login
|
Powered by
Zenphoto