Table of Contents
« prev
next »
Washington University Experience
|
PERIPHERAL NEUROPATHY
|
18 HEREDITARY DISORDERS
|
Fabry Disease
|
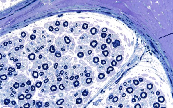
1A4 Fabry Dz (Case 1) 60X
There may be a preferential relative loss of small myelinated axons. (plastic sections)
Image Info
Camera Maker:
Olympus
Camera Model:
DP74
Shutter Speed:
3/200 sec
Metering Mode:
Multi-Spot
Gallery RSS
|
Archive View
|
Login
|
Powered by
Zenphoto