Table of Contents
« prev
next »
Washington University Experience
|
PERIPHERAL NEUROPATHY
|
18 HEREDITARY DISORDERS
|
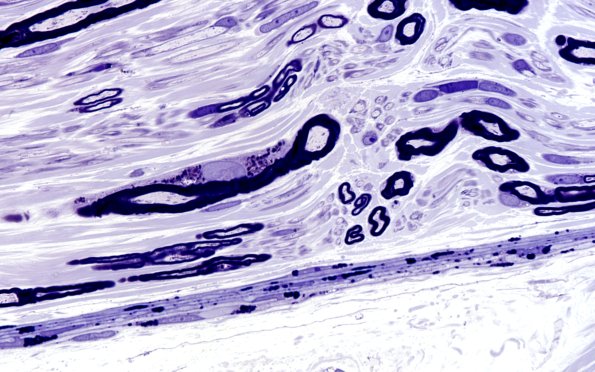
Fabry Disease
|
1A6 Fabry Dz (Case 1) 100X 1
Strangely, one large myelinated axon appears to contain inclusions. (plastic sections)
Image Info
Camera Maker:
Olympus
Camera Model:
DP74
Shutter Speed:
11/412 sec
Metering Mode:
Multi-Spot
Gallery RSS
|
Archive View
|
Login
|
Powered by
Zenphoto