Table of Contents
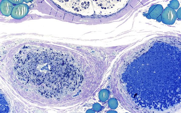
Washington University Experience | PERIPHERAL NEUROPATHY | 18 HEREDITARY DISORDERS | Fabry Disease | 1A7 Fabry Dz (Case 1) 20X 2
1A7,8 The smooth muscle of this arterial wall shows extensive involvement by inclusions. (plastic sections)
