Table of Contents
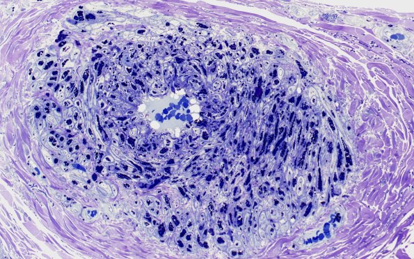
Washington University Experience | PERIPHERAL NEUROPATHY | 18 HEREDITARY DISORDERS | Fabry Disease | 1A8 Fabry Dz (Case 1) 40X
The smooth muscle of this arterial wall shows extensive involvement by inclusions. (plastic sections)
