Table of Contents
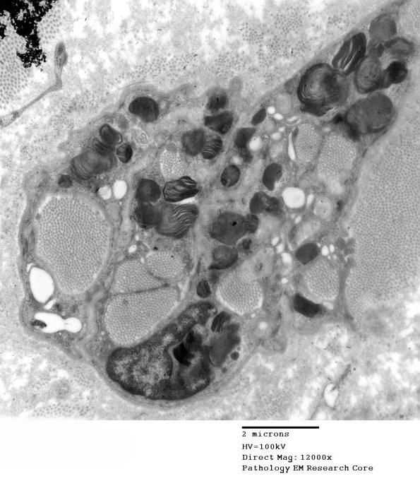
Washington University Experience | PERIPHERAL NEUROPATHY | 18 HEREDITARY DISORDERS | Fabry Disease | 1B2 Fabry's Dz_017 - Copy
1B2-5 Increasing magnifications of the macrophage inclusions show delicate microlamellar appearance. (electron micrographs)
