Table of Contents
Washington University Experience | PERIPHERAL NEUROPATHY | 18 HEREDITARY DISORDERS | Fabry Disease | 1B3 Fabry's Dz_011 - Copy
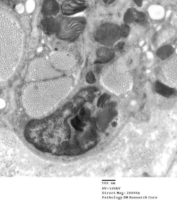
Increasing magnifications of the macrophage inclusions show delicate microlamellar appearance. (electron micrographs)
