Table of Contents
Washington University Experience | PERIPHERAL NEUROPATHY | 18 HEREDITARY DISORDERS | Fabry Disease | 1B9 Fabry's Dz - Copy copy
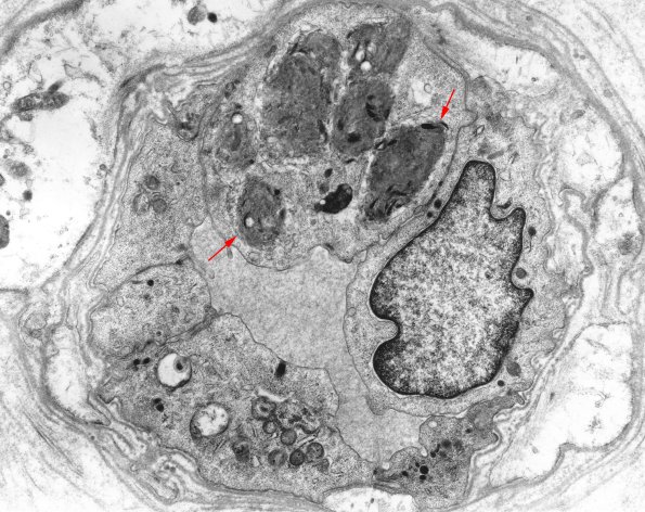
Ultrastructural appearance of an endoneurial venule containing inclusions (arrows). (Image thanks to JM Bilbao) (electron micrograph)
