Table of Contents
Washington University Experience | PERIPHERAL NEUROPATHY | 18 HEREDITARY DISORDERS | Giant Axonal Neuropathy (GAN) | 2B5 (Case 2) - CopyB
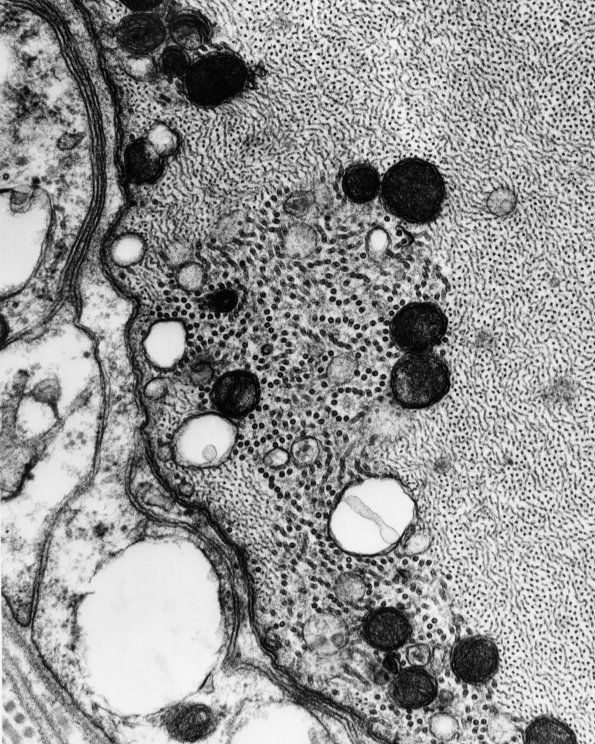
In this case cytoskeletal microtubules are marginated to the subaxolemma by aggregated neurofilaments. (electron micrographs)
