Table of Contents



Washington University Experience | PERIPHERAL NEUROPATHY | 18 HEREDITARY DISORDERS | Giant Axonal Neuropathy (GAN) | 2B8 (Case 2) - Copy

2B8 (Case 2)  - Copy
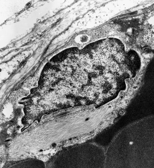
An endothelial cell with a collection of intermediate filaments. (electron micrograph)


Gallery RSS RSS Feed | Archive View | Login | Powered by Zenphoto