Table of Contents
Washington University Experience | PERIPHERAL NEUROPATHY | 18 HEREDITARY DISORDERS | Krabbe Disease | 1B Krabbe copy - Copy
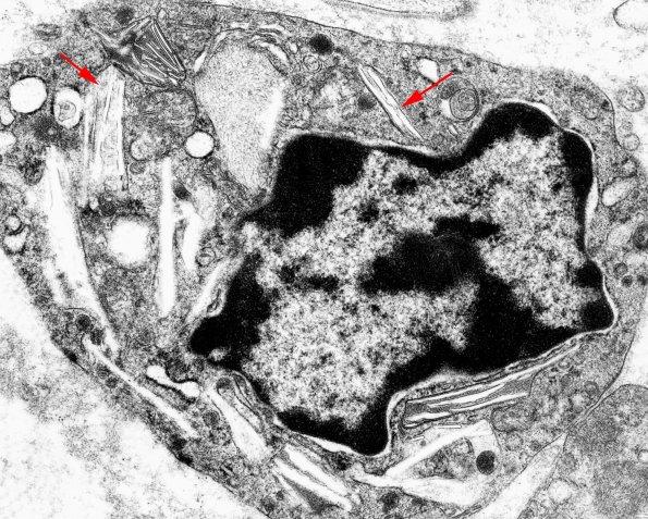
Although only a few inclusions are seen in plastic sections, straight inclusions (arrows) are seen in macrophage and Schwann cells. (electron micrograph) (Thanks to JM Bilbao for the image)
