Table of Contents
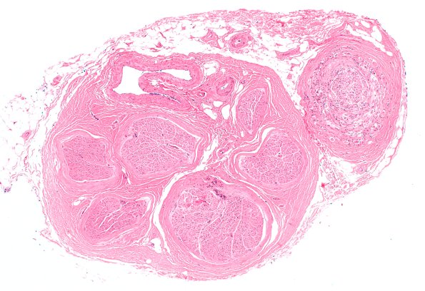
Washington University Experience | PERIPHERAL NEUROPATHY | 19 TRAUMATIC INJURIES | 10A1 Neuroma (Case 10) H&E 4X
Case 10 No History ---- The patient is an 83 year old woman with no history provided in this old case. Operative procedure: Biopsy ---- 10A1,2 Microscopic examination of the sural nerve biopsy shows multiple fascicles, only one of which shows concentric axonal sprouting, a myxoid background and formation of mini-fascicles. (H&E)
