Table of Contents
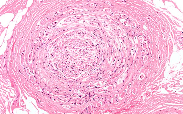
Washington University Experience | PERIPHERAL NEUROPATHY | 19 TRAUMATIC INJURIES | 10A2 Neuroma (Case 10) H&E 20X
Microscopic examination of the sural nerve biopsy shows multiple fascicles, only one of which shows concentric axonal sprouting, a myxoid background and formation of mini-fascicles. (H&E)
