Table of Contents
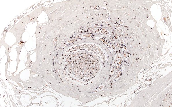
Washington University Experience | PERIPHERAL NEUROPATHY | 19 TRAUMATIC INJURIES | 10B1 Neuroma (Case 10) NF 20X
10B1,2 These sections show the mini-fascicles contain axons and also demonstrate diminished numbers of axons in the adjacent intact-appearing fascicle. (NF IHC)
