Table of Contents
« prev
next »
Washington University Experience
|
PERIPHERAL NEUROPATHY
|
19 TRAUMATIC INJURIES
|
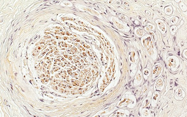
10C Neuroma (Case 10) S100 40X
S100 immunoreactivity shows the Schwann cell composition of the mini-fascicles. (S100 IHC)
Image Info
Camera Maker:
Olympus
Camera Model:
DP74
Shutter Speed:
36/9863 sec
Metering Mode:
Multi-Spot
Gallery RSS
|
Archive View
|
Login
|
Powered by
Zenphoto