Table of Contents
« prev
next »
Washington University Experience
|
PERIPHERAL NEUROPATHY
|
19 TRAUMATIC INJURIES
|
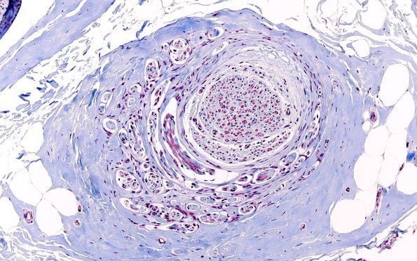
10E Neuroma (Case 10) TRI 20X
Mini-fascicles are surrounded by collagen. (Trichrome)
Image Info
Camera Maker:
Olympus
Camera Model:
DP74
Shutter Speed:
23/20354 sec
Metering Mode:
Multi-Spot
Gallery RSS
|
Archive View
|
Login
|
Powered by
Zenphoto