Table of Contents
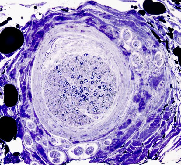
Washington University Experience | PERIPHERAL NEUROPATHY | 19 TRAUMATIC INJURIES | 10F Neuroma, traumatic (Case 10) Plastic 1 Perifascicular
One micron-thick, toluidine blue stained sections of the plastic embedded nerve show mini-fascicles around one fascicle containing myelinated and unmyelinated axons. ---- Not shown: Other fascicles show loss of large and small myelinated fibers. Numerous regenerative clusters and fibers with thinly myelinated sheathes for their axonal caliber are noted, suggestive of axonal degeneration/regeneration.
