Table of Contents



Washington University Experience | PERIPHERAL NEUROPATHY | 19 TRAUMATIC INJURIES | 11A2 Neuroma & Ganglion (Case 11) H&E 5

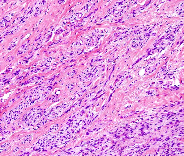
11A2 Neuroma & Ganglion (Case 11) H&E 5
The neuroma contains mini-fascicles with interspersed collagen. (H&E)


Gallery RSS RSS Feed | Archive View | Login | Powered by Zenphoto