Table of Contents
Washington University Experience | PERIPHERAL NEUROPATHY | 19 TRAUMATIC INJURIES | 11A3 Neuroma & Ganglion (Case 11) H&E 9
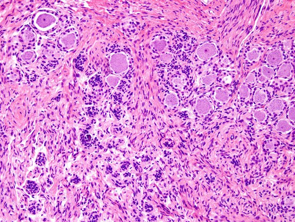
The DRG neurons are not chromatolytic; however, many have dropped out forming Nodules of Nageotte (satellite cell clusters forming by collapse after neuron loss). (H&E)
