Table of Contents



Washington University Experience | PERIPHERAL NEUROPATHY | 19 TRAUMATIC INJURIES | 11B Neuroma & Ganglion (Case 11) NF 1

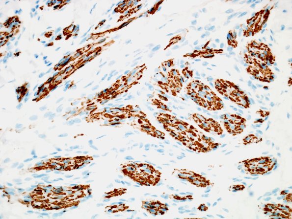
11B Neuroma & Ganglion (Case 11) NF 1
Numerous axons occupy the mini-fascicles. (NF IHC)


Gallery RSS RSS Feed | Archive View | Login | Powered by Zenphoto