Table of Contents



Washington University Experience | PERIPHERAL NEUROPATHY | 19 TRAUMATIC INJURIES | 11C Neuroma & Ganglion (Case 11) Coll IV 1

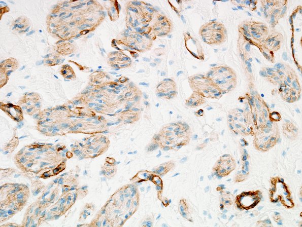
11C Neuroma & Ganglion (Case 11) Coll IV 1
The mini-fascicles stand out with Collagen IV immunostaining. (Coll IV IHC)


Gallery RSS RSS Feed | Archive View | Login | Powered by Zenphoto