Table of Contents



Washington University Experience | PERIPHERAL NEUROPATHY | 19 TRAUMATIC INJURIES | 11D1 Neuroma & Ganglion (Case 11) S100 2

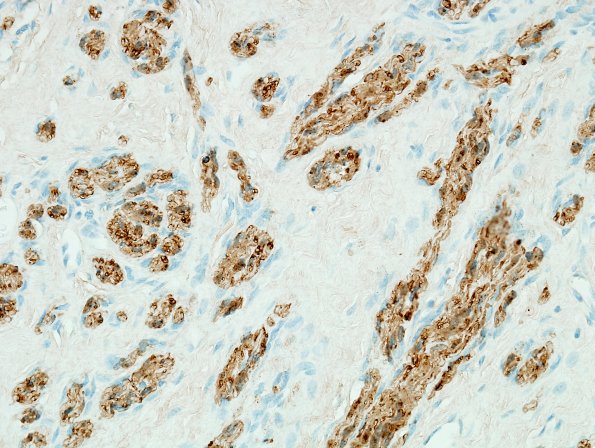
11D1 Neuroma & Ganglion (Case 11) S100 2
The mini-fascicles are rich in S100 immunoreactive Schwann cells. (S100 IHC)


Gallery RSS RSS Feed | Archive View | Login | Powered by Zenphoto