Table of Contents
Washington University Experience | PERIPHERAL NEUROPATHY | 19 TRAUMATIC INJURIES | 11D2 Neuroma & Ganglion (Case 11) S100 5 copy
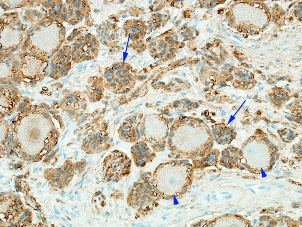
The Nodules of Nageotte (arrows) and satellite cells surrounding neurons (arrowheads) are well seen. (S100 IHC)
