Table of Contents



Washington University Experience | PERIPHERAL NEUROPATHY | 19 TRAUMATIC INJURIES | 11E Neuroma & Ganglion (Case 11) EMA 2

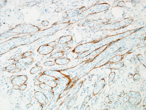
11E Neuroma & Ganglion (Case 11) EMA 2
The mini-fascicles are delimited by delicate perineurial cells. (EMA IHC)


Gallery RSS RSS Feed | Archive View | Login | Powered by Zenphoto