Table of Contents
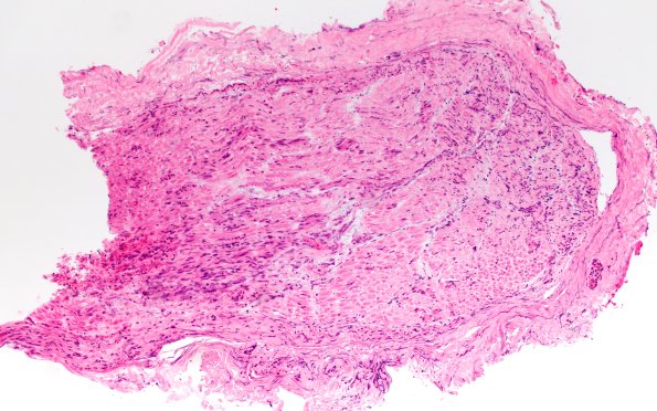
Washington University Experience | PERIPHERAL NEUROPATHY | 19 TRAUMATIC INJURIES | 12A1 Neuroma (Case 12) H&E 10X
Case 12 History ---- The patient is a 43-year-old man presenting with persistent pain following a left brachial plexus injury secondary to a gunshot wound, and electromyography showing a severe, diffuse left brachial plexopathy (likely postganglionic). Operative procedure: Biopsy of stump of posterior interosseous nerve. ---- 12A1,2 H&E-stained sections of the C5 nerve root biopsy show a nerve with focal areas of necrosis. (H&E)
