Table of Contents
« prev
next »
Washington University Experience
|
PERIPHERAL NEUROPATHY
|
19 TRAUMATIC INJURIES
|
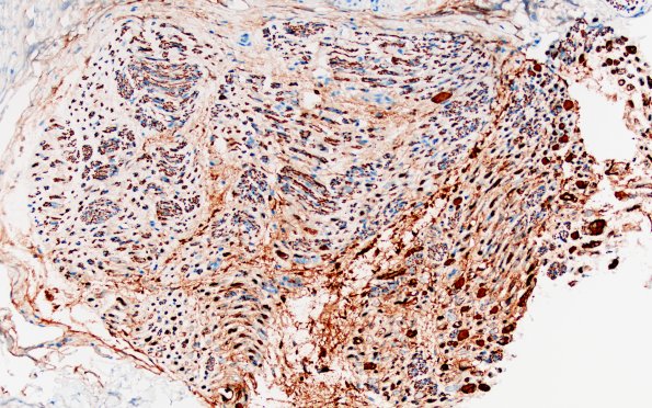
12B2 Neuroma (Case 12) NF 20X 1
Deeper sections show variation in axon number and focal areas of axonal spheroids (arrows, 12B3) (NF IHC)
Image Info
Camera Maker:
Olympus
Camera Model:
DP74
Shutter Speed:
24/20339 sec
Metering Mode:
Multi-Spot
Gallery RSS
|
Archive View
|
Login
|
Powered by
Zenphoto