Table of Contents
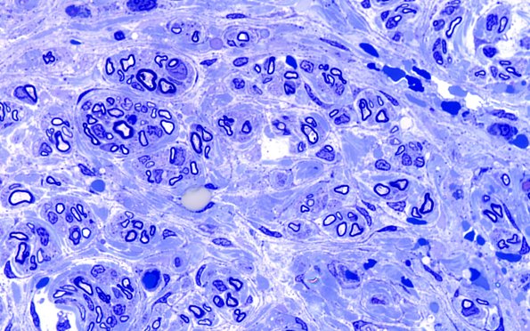
Washington University Experience | PERIPHERAL NEUROPATHY | 19 TRAUMATIC INJURIES | 12C2 Traumatic stump (Case 12) Plastic 100X
Plastic sections are not prepared from paraffin blocks but involve a separately submitted nerve specimen. The 1 micron sections of the neurosurgical specimen did not show necrosis, rather there were large areas of collagen and regenerative clusters/mini-fascicles. (Toluidine blue stained one micron thick plastic sections)
