Table of Contents
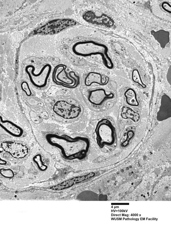
Washington University Experience | PERIPHERAL NEUROPATHY | 19 TRAUMATIC INJURIES | 12D1 (Case 12) C5 N root_025 - Copy
12D1,2 These clusters of axons are surrounded by several turns of spindled cells but compelling basal laminae are not identified. (electron micrographs)
