Table of Contents
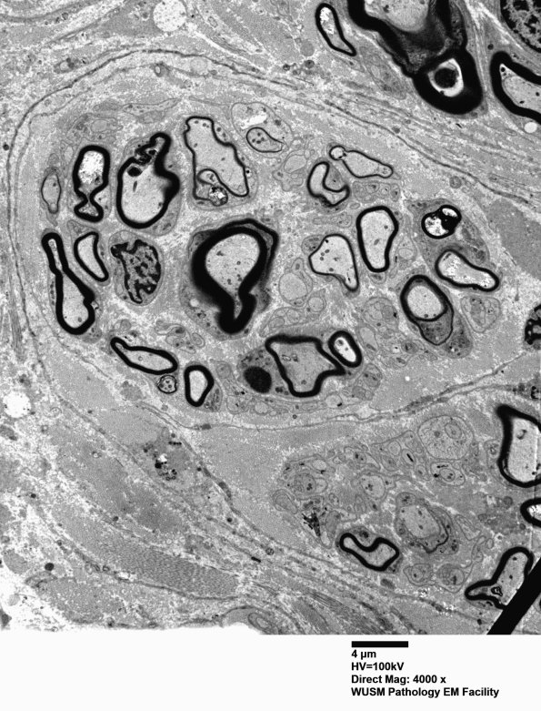
Washington University Experience | PERIPHERAL NEUROPATHY | 19 TRAUMATIC INJURIES | 12D2 (Case 12) C5 N root_016 - Copy
These clusters of axons are surrounded by several turns of spindled cells but compelling basal laminae are not identified. (electron micrographs)
