Table of Contents
Washington University Experience | PERIPHERAL NEUROPATHY | 19 TRAUMATIC INJURIES | 12E1 (Case 12) C5 N root_004 - Copy
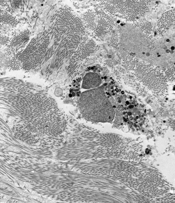
12E1-6 Within collagenous areas swollen structures were encountered which consist of autophagic vacuoles and tubulovesicular elements. We think these are swollen regenerative structures similar to axonal growth cones, likely by deviation into an area not conducive to regeneration. (electron micrographs)
