Table of Contents



Washington University Experience | PERIPHERAL NEUROPATHY | 19 TRAUMATIC INJURIES | 12E4 (Case 12) C5 N root_007 - Copy

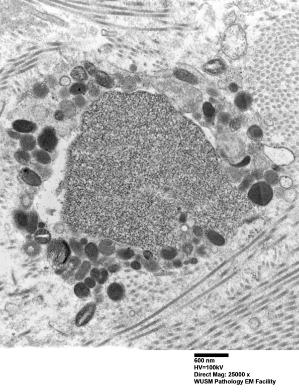
12E4 (Case 12) C5 N root_007 - Copy
Higher magnification of image #12E3. (electron micrograph)


Gallery RSS RSS Feed | Archive View | Login | Powered by Zenphoto