Table of Contents
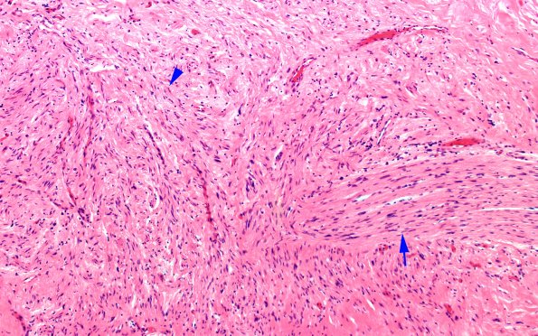
Washington University Experience | PERIPHERAL NEUROPATHY | 19 TRAUMATIC INJURIES | 13B2 Neuroma, traumatic (Case 13) H&E stump prox 10X 2 copy
Higher magnification of the composition of the mass shows tangles of disorganized neurites (arrow) and residual fascicles (arrowhead)
