Table of Contents
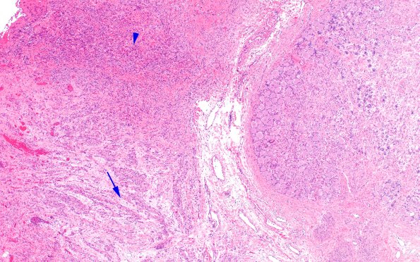
Washington University Experience | PERIPHERAL NEUROPATHY | 19 TRAUMATIC INJURIES | 14A1 Neuroma, traumatic (Case 14) H&E near DRG 4X 1 copy
Case 14 History ---- The patient is a three month old baby girl with left brachial plexus palsy. Operative procedure: Left brachial plexus exploration and repair with sural nerve grafting. ---- 14A1 This traumatic lesion was located immediately adjacent to a DRG and consisted of mini-fascicles (arrow) and haphazard disorganized collections of neurites and Schwann cells (arrowhead). (H&E)
