Table of Contents
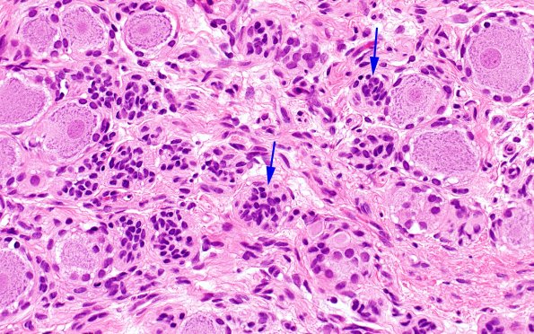
Washington University Experience | PERIPHERAL NEUROPATHY | 19 TRAUMATIC INJURIES | 14A4 Neuroma, traumatic (Case 14) H&E near DRG 40X 1 copy
Portions of sensory ganglion with dystrophic axons and nodules of Nageotte are also seen. ---- Not shown: By immunohistochemistry, the axons are reactive with neurofilament, Schwann cells are highlighted by S-100 and collagen IV and perineurial cells are positive with EMA.
