Table of Contents
Washington University Experience | PERIPHERAL NEUROPATHY | 19 TRAUMATIC INJURIES | 15A1 Meralgia Paresthetica (Case 15) H&E 4
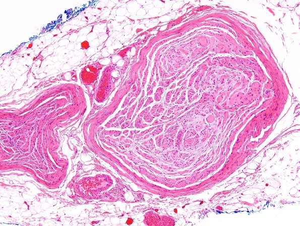
Case 15 History ---- The patient is a 63 year-old woman with a history of severe left anterolateral thigh pain which has been refractory to medical management. Her pain is consistent with lateral femoral cutaneous neuropathy. Operative procedure: Left lateral femoral cutaneous neurectomy. ---- 15A1-4 The biopsy material shows cross sections of peripheral nerve consisting of multiple fascicles with mild-to-severe loss of large and small myelinated axons. There are solid collections of collagen (arrow, 15A2) that appear to represent collagenized Renaut bodies. (H&E)
