Table of Contents
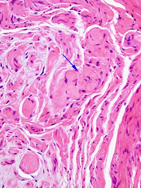
Washington University Experience | PERIPHERAL NEUROPATHY | 19 TRAUMATIC INJURIES | 15A2 Meralgia Paresthetica (Case 15) H&E 1 copy
The biopsy material shows cross sections of peripheral nerve consisting of multiple fascicles with mild-to-severe loss of large and small myelinated axons. There are solid collections of collagen (arrow, 15A2) that appear to represent collagenized Renaut bodies. (H&E)
