Table of Contents
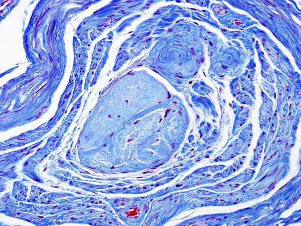
Washington University Experience | PERIPHERAL NEUROPATHY | 19 TRAUMATIC INJURIES | 15B1 Meralgia Paresthetica (Case 15) Trichrome 1
15B1,2 The supposed Renaut bodies stain modestly for collagen but the rest of the endoneurium is also collagenized. (Trichrome) Thioflavin-S fails to stain these structures, ruling out amyloid derivation (not shown).
