Table of Contents
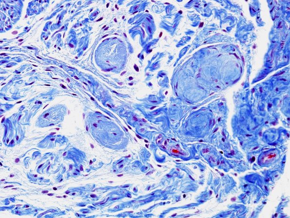
Washington University Experience | PERIPHERAL NEUROPATHY | 19 TRAUMATIC INJURIES | 15B2 Meralgia Paresthetica (Case 15) Trichrome 2
The supposed Renaut bodies stain modestly for collagen but the rest of the endoneurium is also collagenized. (Trichrome) Thioflavin-S fails to stain these structures, ruling out amyloid derivation (not shown).
