Table of Contents
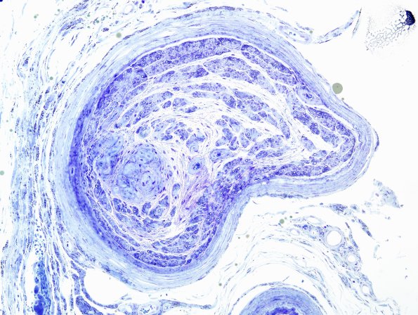
Washington University Experience | PERIPHERAL NEUROPATHY | 19 TRAUMATIC INJURIES | 15C1 Meralgia Paresthetica (Case 15) Plastic 3
15C1-3 Plastic sections show marked, patchy myelinated axon loss and unusual collections of collagen as tiny collagen balls which may reflect collections around axons which have disappeared.
