Table of Contents
Washington University Experience | PERIPHERAL NEUROPATHY | 19 TRAUMATIC INJURIES | 15D1 Meralgia Paresthetica (Case 15) EM 1 - Copy
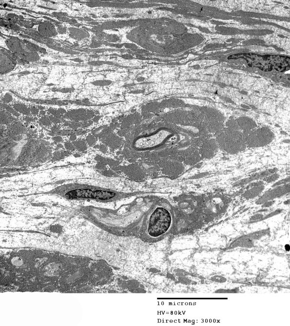
15D1,2 Ultrastructural analysis demonstrates collections of collagen around individual myelinated axons. (Electron micrographs)
