Table of Contents
Washington University Experience | PERIPHERAL NEUROPATHY | 19 TRAUMATIC INJURIES | 15D5 Meralgia Paresthetica (Case 15) EM 012 - Copy
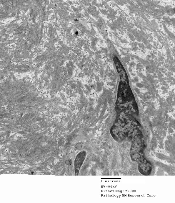
Two magnifications of a structure that resembles a Renaut body which is overrun with collagen and oxytalan. (Electron micrographs)
