Table of Contents



Washington University Experience | PERIPHERAL NEUROPATHY | 19 TRAUMATIC INJURIES | 15D6 Meralgia Paresthetica (Case 15) EM 013 - Copy

15D6 Meralgia Paresthetica (Case 15) EM 013 - Copy
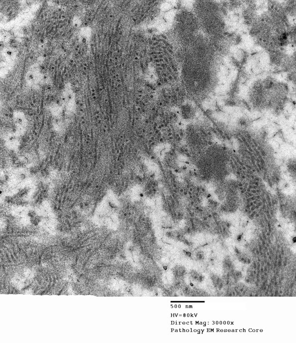
The accumulated material is collagen and oxytalan. (Electron micrograph)


Gallery RSS RSS Feed | Archive View | Login | Powered by Zenphoto