Table of Contents
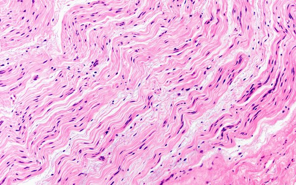
Washington University Experience | PERIPHERAL NEUROPATHY | 19 TRAUMATIC INJURIES | 16A Fustration (Case 16) H&E 20X
Case 16 History ---- The patient is a 74-year-old man presenting with injury of the left radial nerve following a gunshot wound. Operative procedure: PIN (posterior interosseous nerve) biopsy. ---- 16A H&E-stained sections of the formalin-fixed, paraffin-embedded "left PIN" biopsy show peripheral nerve which appears pale but still maintains basic nerve structure. (H&E)
