Table of Contents
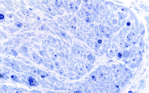
Washington University Experience | PERIPHERAL NEUROPATHY | 19 TRAUMATIC INJURIES | 16B3 Regeneration, frustration (Case 16) Plastic 60X 1
These plastic sections show the endoneurium of one of the fascicles in this biopsy, demonstrating severe loss of normal large and small myelinated axons as well as glassy large axonal spheroids (arrowheads, 16B4). The spheroids have a uniform glassy appearance with little evidence of mitochondria or autophagosomes. (Plastic sections)
