Table of Contents
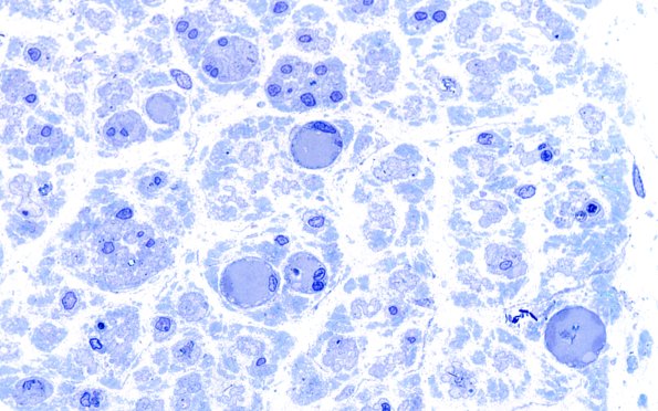
Washington University Experience | PERIPHERAL NEUROPATHY | 19 TRAUMATIC INJURIES | 16B6 Regeneration, frustration (Case 16) Plastic 100X 1
These plastic sections show the endoneurium of one of the fascicles in this biopsy, demonstrating severe loss of normal large and small myelinated axons as well as glassy large axonal spheroids (arrowheads, 16B4).
