Table of Contents
Washington University Experience | PERIPHERAL NEUROPATHY | 19 TRAUMATIC INJURIES | 16C1 (Case 16) L PIN nerve_006 - Copy
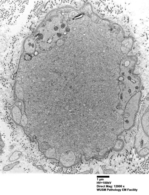
16C1-10 These spheroids have an ultrastructure unusual in my experience. Typical axonal spheroids contain large numbers of small vesicles, neurofilaments, mitochondria and other subcellular cytosomes. The structures in the current case do not contain rough endoplasmic reticulum, lipofuscin, pi granules, myelin elements or nuclei. Adjacent to these central elements are a periphery of Schwann cell processes, resembling a band of Büngner and, by inference, suggesting that these structures are related to regeneration of the axon and may represent growth cones, possibly elements which have been frustrated in their attempts at regeneration. These structures do not contain anastomosing tubulovesicular elements seen in dystrophic axons. I do not think that these structures contain myelin debris which has undergone vacuolar change or any structure normal for the PIN. (Electron micrographs)
