Table of Contents



Washington University Experience | PERIPHERAL NEUROPATHY | 19 TRAUMATIC INJURIES | 16C10 (Case 16) L PIN nerve_070 - Copy

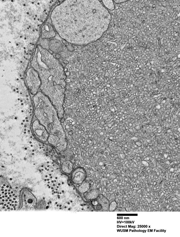
16C10 (Case 16) L PIN nerve_070 - Copy
Higher magnification of image #16C9. (electron micrograph)


Gallery RSS RSS Feed | Archive View | Login | Powered by Zenphoto