Table of Contents



Washington University Experience | PERIPHERAL NEUROPATHY | 19 TRAUMATIC INJURIES | 16C3 (Case 16) L PIN nerve_022 - Copy

16C3 (Case 16) L PIN nerve_022 - Copy
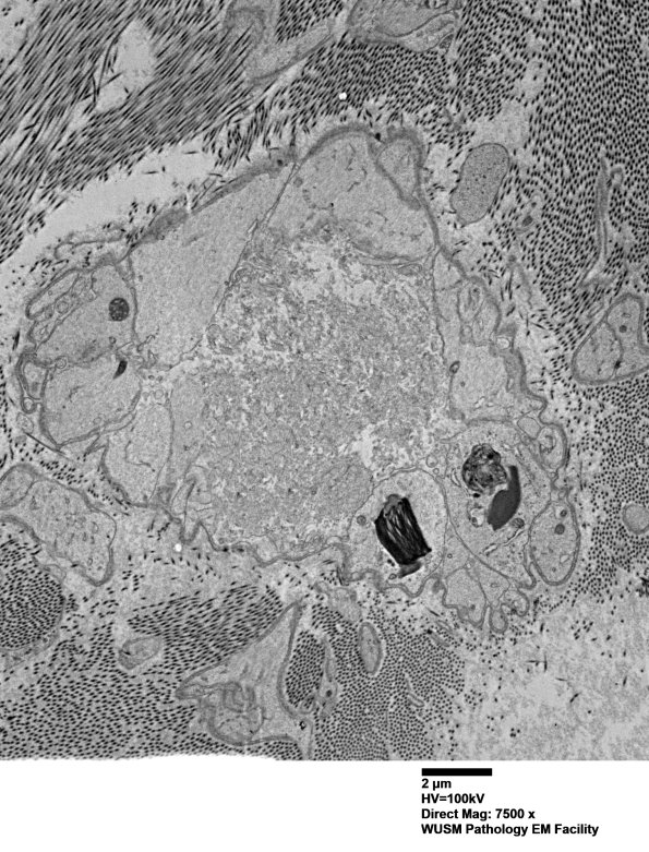
This spheroid is dominated by coarse tubulovesicular elements. (electron micrograph)


Gallery RSS RSS Feed | Archive View | Login | Powered by Zenphoto