Table of Contents
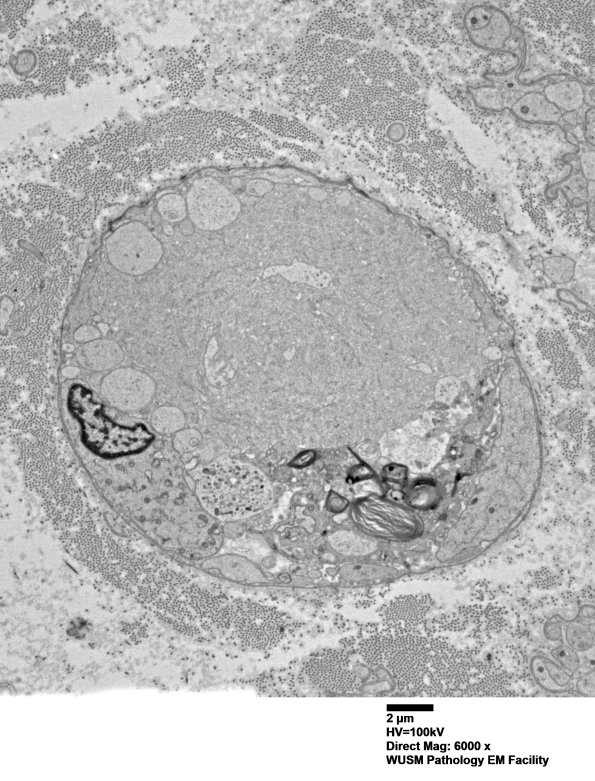
Washington University Experience | PERIPHERAL NEUROPATHY | 19 TRAUMATIC INJURIES | 16C5 (Case 16) L PIN nerve_025 - Copy
This appears to be a spheroid surrounded by Schwann cell processes and residual myelin debris. We have questioned if the vesicular elements could represent vesicular myelin change and not an axonal element. There is no definitive Schwannian element found within the spheroids and many were available for examination. (electron micrograph)
